OUR SERVICES
The equipment of our animal health center:
• 2 operating theater for small animals
• 8 stationary boxes with video surveillance for small animals
• 3 examination rooms for small animals
• 1 X-ray room for small animals
• 5 parking spaces in the courtyard
Our Services:
Ultrasound exams
We use ultrasound diagnostics for internal disorders, pregnancy diagnosis and demarcation of tumors. For this purpose, a modern Color Doppler Ultrasound device is available, which also allows us to examine heart disease.

HD / ED / Digital X-ray
The x-rays are created digitally with a lot of experience.
Of course, a modern high-performance X-ray system with corresponding fully automatic development unit is in use.
Since 2001, we have been equipped with a digital X-ray unit for all cases of doubt, which enables particularly fine pictures with high transparency. These X-ray images are significantly better in their informative value than normal X-rays and thus often save the preparation of a computed tomography (CT). Conventional X-rays can also be taken by digitization in the data processing. In this form you can send them by e-mail. Since 2019 we do also offer x-rays with a digital Tooth X-Ray. This facilitates and accelerates the collaboration with consulting colleagues as well as the transmission of information during referrals, even over long distances.
Internistics / Internal Medicine
Internistic cases are generally diagnosed intensively. As a result, high rates of success in therapy are possible even in severe illnesses and emergencies. For all problematic or severe, rare cases we are in constant contact with competent colleagues and special facilities. Even complicated stimulation tests and long-term infusion therapies are not an unsolvable task for us. Necessary CT scans or Magnetic Resonance Tomographies / Imaging (MRI) are performed on our instructions in appropriately equipped clinics.
Bronchoscopy Gastroscopy Rectoscopy

Surgery/Electrosurgery
In addition to orthopedic and fracture surgery, soft tissue surgery is also offered, e.g. for castrations, tumor operations on the skin and internal organs, stomach overload, etc.
Tumor therapy with enzyme complexes
Bioresonance
Orthopedics/
Osteosynthesis
We perform routine orthopedic surgery routinely. We transfer total endoprostheses as well as neurological operations to experienced specialists. These methods belong in the hands of a few specialists with whom we are constantly in contact! Before a referral is made, we examine, in the interests of our patients, all possible non-invasive forms of therapy. In our opinion, surgery should only be used in cases where there is no appropriate alternative.

Dental Cleaning
Plaque/Tartar removal by ultrasound
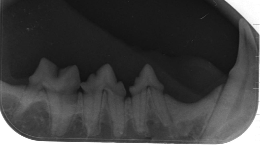
Digital dental X-ray.
Also tooth corrections of rabbits with easily controllable inhalation anesthesia.
Laboratory
Our laboratory is able to determine many important values of the blood within a few minutes. This can be initiated on weekends and public holidays, fascilitating a targeted therapy. More complicated examinations are forwarded to special diagnostic facilities. Parasitic examinations of faeces, fungus tests, parasites and bacteriological examinations are also carried out in our own laboratory.
Alternative treatments
We also offer homeopathic and naturopathic treatments, such as
Acupuncture / Laser Acupuncture / Neural Therapy / Magnetic Therapy / Schüssler Salts / Homeopathy.
In recent years, the application of the naturopathic methods listed above has emerged as an additional therapeutic focus. We try to combine conventional medicine and naturopathy in a reasonable way. Experience shows that the two methods often complement each other ideally and the common application in terms of patient health is recommended.
Our team regularly attends training and continues to educate.
Please contact us if you have any questions.


